Are you searching for dental implants in Huddersfield, dental implants Doncaster, or dental implants Yorkshire? If missing teeth, loose dentures, or gaps are affecting your confidence and daily life, Ark Dentistry offers life-changing solutions with natural-looking, long-lasting results.
At Ark Dentistry, our expert team provides top-rated dental implants Huddersfield and dental implants Doncaster using advanced 3D imaging for precise, comfortable treatment. With clinics right in Huddersfield and Doncaster, we’re the trusted choice for patients from Leeds, Bradford, Wakefield, Sheffield, Rotherham, and across Yorkshire seeking affordable dental implants near me.
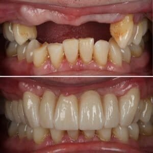
Here are real examples of stunning smile makeovers achieved with dental implants at Ark Dentistry:

These transformations highlight how Ark Dentistry dental implants deliver natural, confident smiles every time!
Why Ark Dentistry is the Go-To for Dental Implants in Yorkshire
Dental implants replace missing tooth roots with titanium posts that fuse to your jawbone, supporting custom crowns, bridges, or full arches. Unlike dentures or bridges, they prevent bone loss, preserve facial structure, and feel just like real teeth.
Key benefits of choosing dental implants Huddersfield or Doncaster at Ark Dentistry:
- Natural look & feel — Seamless blending with your existing teeth
- Permanent solution — Often lasting a lifetime with good care
- Jawbone preservation — Stops the sunken-face effect from missing teeth
- Better function — Improved chewing, speech, and self-esteem
We proudly serve patients searching for dental implants near me Huddersfield, dental implants near me Doncaster, affordable dental implants Yorkshire, and more.
Our Tailored Dental Implant Options at Ark Dentistry
From single missing teeth to full-mouth restoration, we offer personalised solutions:
- Single tooth dental implants — Starting from £2,400
- Multiple teeth — Using bridges on strategic implants
- Full arch / full mouth — Including popular All-on-4 dental implants Huddersfield & All-on-4 dental implants Doncaster, plus All-on-6 for extra stability
Our packages include:
- Foundation Smile (from £8,000 per arch)
- Signature Smile (from £11,000 — our most requested!)
- Advanced Smile (from £15,000 for premium zirconia)
Take advantage of our limited-time offer: Up to 30% off full arch implants — saving thousands for Yorkshire patients seeking cheap dental implants Huddersfield or cheap dental implants Doncaster!
The straightforward process at Ark Dentistry Huddersfield and Ark Dentistry Doncaster:
- Free consultation with 3D planning
- Implant placement (often same-day temporary teeth)
- Healing and final custom restoration
Experience our modern, relaxing clinics designed for your comfort:

Why Patients Choose Ark Dentistry for Dental Implants in Huddersfield & Doncaster
- Specialist-led team with extensive implant experience
- Competitive, transparent pricing + 0% finance options
- State-of-the-art 3D technology for predictable outcomes
- Welcoming care for nervous patients
Whether you’re looking for best dental implants Huddersfield, best dental implants Doncaster, or simply dental implants Yorkshire, Ark Dentistry delivers exceptional results at prices competitive with nearby areas like Leeds, Bradford, and Wakefield.
Ready to restore your smile with Ark Dentistry dental implants?
Book your free consultation for dental implants Huddersfield or Doncaster today — no obligation, just expert advice: https://arkdentistry.co.uk/contact-us/
Discover more about our full range of dental implant treatments: https://arkdentistry.co.uk/treatments/dental-implants/
Your perfect, natural smile awaits at Ark Dentistry — the Yorkshire choice for confident, lasting dental implants.
Questions about dental implants near me in Huddersfield, Doncaster, or elsewhere in Yorkshire? Contact us today — we’re here to help!