Why ARK Dentistry Has The Best Teeth Straightening Process For A Brighter Smile

At ARK Dentistry, we’ve partnered with Glosmiles to offer glosmiles aligners – a revolutionary clear aligners system that delivers professional-grade teeth straightening right from our...

Missing Teeth Options: Implants, Bridges & Dentures | Ark Dentistry

Losing a tooth can feel like a big deal, but at Ark Dentistry, we’re here to help you explore your missing teeth options with confidence. From dental implants to bridges and dentures, there are...

How Much Is Composite Bonding Per Tooth at Ark Dentistry?

Are you dreaming of a brighter, more even smile without breaking the bank? Composite bonding could be the perfect solution. At Ark Dentistry, our patients often transform their smiles by treating...

Dental Implants: Your Guide to Permanent Tooth Replacement at Ark Dentistry

Are you searching for “dental implants” or wondering “what are dental implants”? At Ark Dentistry, we specialise in affordable dental implants that restore your smile with...

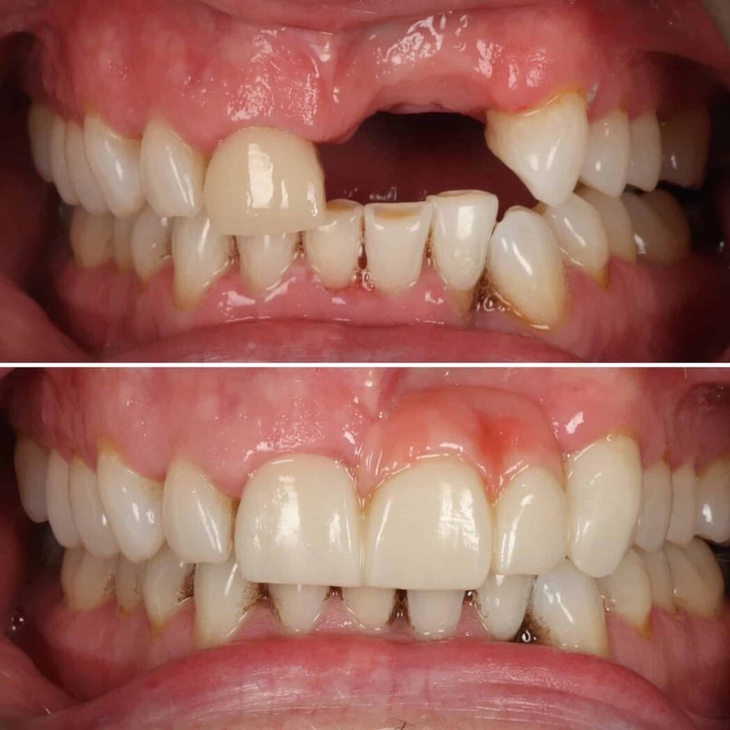
Dental Implants for Front Teeth at Ark Dentistry

Are you dealing with a missing front tooth? Whether due to an accident, decay, or other issues, losing front teeth can affect your smile and confidence. At Ark Dentistry, our dental implants for front...

Why Dental Implants Are the Best Solution for Missing Teeth at ARK Dentistry

If you’re missing one or more teeth, you know how it can affect not only your appearance but also your confidence and ability to eat and speak comfortably. At ARK dentistry Doncaster, we offer dental...

The Hidden Dangers of DIY Orthodontics: Why Professional Orthodontic Care at Ark Dentistry Matters

In today’s fast-paced world, the allure of DIY orthodontics is hard to ignore. With social media buzzing about at-home teeth straightening kits and mail-order aligners, many people in...

Do Clear Aligners Really Work? Your Guide to a Confident Smile with Ark Dentistry

Are you dreaming of a straighter smile but hesitant about traditional metal braces? At Ark Dentistry, we understand the desire for a discreet, comfortable, and effective teeth-straightening solution...

Affordable Clear Aligners in the UK

Your Guide to a Confident Smile with Ark Dentistry Looking for affordable clear aligners in the UK to achieve your dream smile? At Ark Dentistry, we offer high-quality, cost-effective teeth...